收藏本站
您好,欢迎光临上海浩洋生物科技商城!
全国服务热线:
158 2162 2703
关注我们
服务中心
帮助中心
常见问题
服务条款
投诉建议
我要登录
|
免费注册
|
会员中心
|
我的订单
产品
资讯
供应商
会员中心
购物车
0
最新加入的商品
序号1
目录号
规格
名称
数量
数据加载中...
共
0
件商品 合计:
¥0.00
全部产品分类
分子生化试剂
生化试剂
PCR与RT-PCR
核酸分离与纯化
工具酶
转染与转化
分子量Marker
核酸标记和杂交
药典级试剂
基因克隆
生化试剂
PCR与RT-PCR
核酸分离与纯化
工具酶
转染与转化
分子量Marker
核酸标记和杂交
药典级试剂
基因克隆
免疫学试剂
一抗
二抗
ELISA/ELISPOT试剂盒
一抗
二抗
ELISA/ELISPOT试剂盒
细胞生物学
细胞培养
细胞凋亡
细胞因子
细胞信号传导
掉网诱导剂
培养基
细胞培养
细胞凋亡
细胞因子
细胞信号传导
掉网诱导剂
培养基
蛋白质研究
蛋白质纯化
蛋白质Marker
蛋白质定量
蛋白酶
蛋白检测
蛋白酶抑制剂
蛋白抽提
重组蛋白
蛋白质纯化
蛋白质Marker
蛋白质定量
蛋白酶
蛋白检测
蛋白酶抑制剂
蛋白抽提
重组蛋白
实验耗材
Axygen耗材
Corning耗材
BD Falcon耗材
Axygen耗材
Corning耗材
BD Falcon耗材
首页
新闻资讯
最新促销
公司新闻
新品发布
行业动态
精品资讯
产品中心
精品推荐
自主品牌
产品列表
代理品牌
客户服务
技术支持
在线留言
售后政策
投诉建议
资料中心
技术专栏
常见问题
常用软件
关于我们
公司简介
企业文化
企业优势
发展历程
联系我们
人才招聘
精品推荐
更多>>
¥2235.00
Aureobasidin
询价
鼠尾胶原蛋白一型,Collagen I RatTail Natural
¥1200.00/100ML
DMSO促销
¥5200.00/500ML
GIBCO澳洲胎牛血清促销
询价
n-Dodecyl-β-D-Maltopyranoside
¥1300.00
Hygromycin B
热搜排行榜
1
4-Nitrophenyl α-D-glucopyranoside
2
PrimeGel? Agarose LE 1-20K
3
PrimeScript? Double Strand cDNA Synthesis Kit
4
Insulin, Human Recombinant
5
肝素钠 Heparin Sodium
6
BSA
7
(±)-AMPA
特色产品
查看生命科学研究方面的所有产品>>
抗体
蛋白/肽
ELISE试剂盒
ELISpot试剂盒
特色试剂盒
¥4729.00
Anti-HIF1AN
¥1751.00
RBPSUH (D10A4) XP(R) Rabbit mAb
¥3540.00
PhosphoWorks? Fluorimetric Pyrophosphate Assay Kit *Enhanced Selectivity*
¥1140.00
Z-Gly-Pro-AMC
¥4729.00
Human IL-4 MAb clone E10023
¥8050.00
Mouse Insulin-U ELISA
¥6790.00
Human IFN-omega ELISA
¥4500.00
EasyBlot anti-Rabbit IgG Kit (Optimized for Prot A/G)
自主品牌
更多>>
凋亡检测
经典Annexin V 检测| 性价比高| 大量SCI文献引用
抗人
11
抗小鼠
抗大鼠
技术专栏
更多>>
ELISA试剂盒选购经验
目前市场上的ELISA试剂盒质量参差不齐,如何去挑选适合自己的试剂盒就显得特别重要,具体有以下几点可供参考:特异性,灵敏度,重复性,简便性,经济性,美誉度
查看详细方案>>
HE染色关键步骤分析
材料透明后,在桌上放一张洁净的吸水纸,将含材料的载玻片从二甲苯中取出放在纸上(切片的一面向上),迅速地在切片的中央滴一滴树胶(千万不能待二甲苯干燥后再进行),用右手持小镊子轻轻地夹住盖玻片的右侧,稍为倾斜使其左侧与封藏剂接角,然后再缓慢地将盖玻片放下,这样就可以减少或避免产生气泡。如胶液不足,可以用玻棒再滴一滴树胶从盖玻片边缘补足。如胶液过多,可在干燥以后用刀刮去,并用纱布蘸二甲苯拭去残留的树胶。
查看详细方案>>
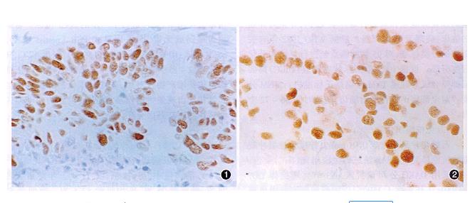
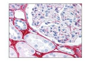
免疫组化染色关键步骤分析
石蜡切片,步骤同前。切片经贴片后,60℃烤片30min使蜡熔化,经二甲苯Ⅰ、Ⅱ各10min,脱蜡。然后,将切片放入100%、95%、90%、80%、70%乙醇中3-5min,再放入蒸馏水中3min,水化。
查看详细方案>>
WB过程中常见的问题分析及解决办法
设置阳性对照,如果阳性对照有结果,但标本没有则可能是标本中不含靶蛋白或靶蛋白含量太低。可考虑增加标本上样量解决靶蛋白含量低的原因。
关于ELISA实验二抗标记
免疫标记技术是将一些既易测定又具有高度敏感性的物质标记到特异性抗原或抗体分子上,通过这些标记物的增强放大效应来显示反应系统中抗原或抗体的性质与含量。常用的标记物包括荧光素、酶和放射性核素等,用这3种标记物进行标记的免疫检测技术被称为3大免疫标记技术。目前,使用的免疫标记物还有化学发光物质、铁蛋白和胶体金等
肿瘤搬石头砸自己脚?科学家发现抑制乳腺癌转移关键
如果要给疾病做一个排行榜,按照“恐怖度”给疾病做个排名,癌症一定能排在前几位。癌症之所以能被称为“众病之王”,并不是没有原因的。它的恐怖之处在于癌细胞能在体内疯狂生长,而且能遍地开花,出现转移。而癌症一旦转移,患者的生存率就会大幅下降,几乎相当于被宣判死刑。
最新促销
公司新闻
新品发布
小鼠硫氧化还原蛋白(Trx)ELISA Kit
2019-07-09
小鼠白介素4(IL-4)ELISA Kit
2019-05-09
小鼠白介素3(IL-3)ELISA Kit
2019-05-09
小鼠白介素16(IL-16)ELISA Kit
2019-05-09
小鼠胰岛素样生长因子结合蛋白2(IGFBP-2)ELISA Kit
2019-05-09
小鼠胰岛素样生长因子结合蛋白1(IGFBP-1)ELISA Kit
2019-05-09
小鼠胶原酶I(Collagenase I)ELISA Kit
2019-05-09
人和肽素(copeptin)ELISA Kit
2019-05-09
创新先锋:蔡司智能显微镜全新上市!
2019-07-09
助力转化医学研究,珀金埃尔默推出系列网络大咖说
2019-05-09
Jenoptik将亮相医博会微型数字成像平台助力生物光电发展
2019-05-09
VacCon 2019疫苗质量安全论坛第一轮通知
2019-05-09
珀金埃尔默宣布收购 Cisbio Bioassays
2019-05-09
2019·全国植物育种与生物技术研讨会将于4月在林芝举行
2019-05-09
中国首个卵巢癌靶向药今日获批
2019-05-09
一文看懂基因编辑和基因疗法六大最新进展
2019-05-09
关于我们
更多>>
上海浩洋生物科技有限公司,在为生命科学领域提供丰富的产品与信息资源方面处于全国领先地位,公司提供的产品涵盖了二十多个国家近五十万种产品,而且产品的数量与信息在不断的增长和更新,公司提供的产品能够使生命科学工作者加快对生物化学,分子生物学,细胞生物学以及蛋白质组学研究的认知,以及分子诊断和临床医学领域的应用。
代理品牌
更多>>
15821622703